top of page


Minimally Invasive Treatment Education from World-Leading Interventional Radiologists.
Find a Location Near You
Search


What is Genicular Artery Embolization or GAE?
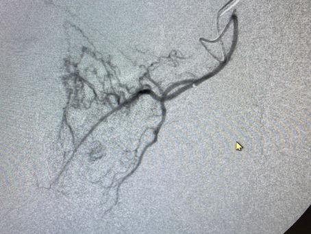
GAE is a new procedure, first developed in Japan, that treats knee pain from arthritis. It is similar to getting a steroid injection in the knee except that more reliably reduces pain and can keep the pain away for years instead of several months. It is performed by placing a tiny catheter into the artery at the top of the leg and guiding it down to the knee using x-ray. Images of the knee arteries are then taken that show where there are areas of inflammation that are causin
Sandeep Bagla
Aug 1, 20221 min read


What does it feel like to have a PAE?
Many times when I initially meet with prospective patients, they ask "What does it feel like to have a PAE?" The answer is: It doesn't feel like much. The only thing that is actually painful about the procedure is when we give a numbing shot prior to placing a very skinny catheter (like a piece of spaghetti) into the the artery. The sting from the shot lasts only a few seconds. Afterward, there is nothing more that is sharp throughout the entire procedure. This is because you
Sandeep Bagla
Aug 1, 20222 min read


Minimally Invasive Surgical Therapies (MISTs) vs PAE for Enlarged Prostate (BPH)
Minimally invasive surgical therapies or MISTs for BPH are treatments performed in an office setting that do not require general anesthesia or overnight stay. They are performed by a urologist and involve placing an instrument through the penis to treat the prostate. They are desirable by many men because they have a lower risk of complication including sexual side-effects. However, the effects of these procedures are not as dramatic and do not last as long as the gold standa
Sandeep Bagla
Aug 1, 20222 min read


Got Hemorrhoids?
Hemorrhoids are cushions of fibrovascular tissue in the anus helping to seal the anus and maintain anal continence. They can be easily irritated, become enlarged and form into swellings, often caused by straining and constipation. Hemorrhoidal disease describes the swollen or inflamed state of these vascular structures inside or around the anal canal. It is the most frequent anorectal disease with 5%-40% occurrence in the population. Hemorrhoids can be located internal at the
Sandeep Bagla
Aug 1, 20222 min read


What is an Aquablation?
Aquablation uses a guided robot and imaging to increase urinary flow, and alleviate urinary symptoms. It has surgical outcomes comparable to older methods such as the “roto rooter” or the TURP often with no sexual side effects. Aquablation is done after the patient goes through preoperative work-up, and the physician determines that they are an appropriate candidate for the procedure. They are taken to the operating room, and are given a general anesthetic or spinal anestheti
Sandeep Bagla
Aug 1, 20223 min read


How does an Overactive Bladder affect BPH?
by Pratik Desai, MD An overactive bladder may show up as: urinary frequency, urinary urgency, or trouble holding your urine until you can make it to the restroom. It can also show up as a feeling of not emptying your bladder all the way. This can involve going to the bathroom, and very shortly after needing to use the restroom again. The symptoms of an enlarged prostate, and an overactive bladder have some overlap. Oftentimes, it will take some diagnostic ability to tell the
Sandeep Bagla
Aug 1, 20222 min read


What is Prostate Artery Embolization ?
Prostate Artery Embolization, or PAE, is a procedure where a very small spaghetti sized catheter is placed within the arteries supplying the prostate gland and microparticles are injected in order to decrease the blood supply to the prostate. This injection of microparticles is called embolization, which is a procedure which has been utilized for more than 30 years in the treatment of many medical conditions. The procedure was first pioneered in the United States by Dr. Sande
Sandeep Bagla
Aug 1, 20222 min read
What is a TURP?
By Pratik Desai MD A TURP stands for, TransUrethral Resection of the Prostate.This is a surgical procedure done under anesthesia where a telescope is inserted into the urethra then advanced into the bladder. There is an element in that scope that is then used to shave down or resect the blocking tissue of the prostate. Once the resection is done the chips that are shaved off the prostate are then soaked, and any bleeding is cauterized with the instrument. This procedure has b
Sandeep Bagla
Aug 1, 20222 min read


Uncommon Origins to the Prostatic Artery
In less than 1% of men, the prostatic artery will arise from the external iliac artery rather than from the internal iliac artery. This...
Sandeep Bagla
Aug 1, 20221 min read
Download this guide
bottom of page






